武科大网讯 10月18日,我校177漫画
祝海川、张同存课题组联合武汉大学中南医院血液科周芙玲教授课题组合作在Cell综合性子刊iScience上发表题为“JUN mediates Glucocorticoid Resistance by stabilizing HIF1A in T-Cell Acute Lymphoblastic Leukemia”的研究性论文。

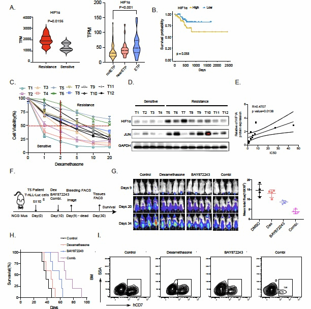
地塞米松是一种广泛应用于急性淋巴细胞白血病的抗炎药物,其耐药是T-ALL复发主要原因之一。此项研究中,研究团队通过对地塞米松耐药和敏感的T-ALL病人数据分析发现转录因子JUN在地塞米松耐药T-ALL患者样本中表达上调,且与患者预后呈负相关。通过构建T-ALL地塞米松耐药细胞系并对其进行RNA-seq和ATAC-seq测序证明JUN的表达受JNK信号通路的调控。 靶向JNK信号通路可以有效的逆转耐药。随后利用药物高通量筛选进一步分析发现,JUN高表达导致的耐药是通过与转录因子HIF1A结合并抑制其与常氧状态下的降解来实现。HIF1A抑制剂与地塞米松协同作用,增强地塞米松耐药细胞(人T-ALL细胞)体外和体内的细胞死亡,这一结论在T-ALL细胞系和临床样本中得到验证。

总的来说,该研究揭示了JUN与HIF1A相互作用在T-ALL地塞米松耐药发展中的作用,进而提出了一种潜在的地塞米松耐药T-ALL治疗的新策略—靶向JNK-JUN-HIF1A轴药物与地塞米松联用,提高T-ALL的治疗效果。
我校为本研究的第一完成单位,我校177漫画
祝海川副教授和张同存教授、武汉大学中南医院血液科主任周士芙玲教授为本文的共同通讯作者。 我校177漫画
硕士研究生张智婕和博士研究生史江舟为本文的共同第一作者,博士研究生张子健、硕士研究生吴琦放、赵院等参与了该研究的工作。本研究得到国家自然科学基金、湖北省面上项目的资助,并依托我校分析测试中心,得到了操媛和邹飘等老师技术上的支持。
祝海川副教授2019年入职以来,以第一作者或通讯作者分别在Cell Metabolism(2023), Nature communication(2021), Journal of Hemato&Oncology (2021), Acta Pharmacologica Sinica(2023), iScience(2023), Scientific Report(2022), Vaccines(2023a, 2023b)等杂志发表11篇研究成果。
原文链接:// //www.cell.com/iscience/fulltext/S2589-0042(23)02319-2